三、皮肤器官原位再生复原机理
作者:徐荣祥 出版社:中国科学技术出版社 发行日期:2009年7月皮肤器官再生复原技术是真正意义上实现皮肤器官原位再生复原,这是人类的梦想,更是生命科学最前沿已成功实现的人体再生科学成就之一。皮肤再生和身体内其他器官原位再生一样,是利用人体组织的潜能再生细胞(皮肤具有再生潜能的细胞和角蛋白19型干细胞)原位再生为组织器官来实现的,同时实现所有皮肤器官的解剖结构和生理功能的年轻化,并通过提高皮肤器官生命再生活力带动机体各器官生命活力的提高,之所以能够被称之为“皮肤器官原位再生复原技术”,即是从人体器官再生科学成就的角度入手,利用器官原位再生潜能,复原皮肤器官中各种细胞和组织,使其再生恢复原有的结构和功能,实现延缓和中止皮肤衰老,实现皮肤器官生命寿命的再生接力,再生复原整个皮肤器官已经失去的青春活力。
具体的皮肤器官原位再生复原技术机理,除人体器官再生的共同潜能再生细胞原位再生复原的细胞学机理外,我在这里侧重于从皮肤组织学讲起。皮肤的组成和人体其他器官的组成是一样的,都是由上皮组织、结缔组织、神经组织、肌肉组织组成。从组织学的角度讲,人体器官的再生必须将这四大组织全部再生,才能实现人体器官的再生,如果实现不了四大组织的同时再生,就没有办法真正实现器官的再生。
【组织学及再生医学基础理论】

在这里,用人们认为不可能的断指原位再生复原实例做一个引申(***的例子,拇指末节离断,离断后立即在医院将已经断掉的部分与拇指进行缝合连接,但缝合后断掉的指体并没有成活,而后,我们不得不用再生的方法,对已经坏死的断指原位进行再生,一个多月的时间断指再生完成,见断指再生的图片),我们都知道,断指再生至今仍被科学界称为一种梦想,因为科学家们都很清楚实现断指再生具有相当大的生命科学基础难度,它涉及人体四大组织、60多种组织器官的再生和复原,没有器官原位再生技术支持,永远都无法实现。2008年科学杂志还组织250余名专家进行未来生命科学突破的研究预测,其中断指再生为将来有可能实现的生命科学突破。断指是涉及指骨、肌肉、神经、甲床、皮肤等的离断。实现断指再生,可不是看似简单的生理性修复,而是必须要采用原位再生复原技术再生复原断指上的60多种组织器官。在现在生命科学和医学的理论上是不可能的事,可是,我们实现断指原位再生的技术已经是20年前的临床常规技术了。
我们的断指再生技术是指断指创面在再生营养物质的作用下,同时在人体的统一调控下,四大组织同步再生生长,包括皮肤、肌肉、骨骼、附件等,并且平行向上移行,这样大约50天断指就可以完全复原了,并且复原后的组织器官与原有器官完全一样,没有接口和痕迹,其功能也和原来未断指时100%一样。目前,有的医院仅断指再生就可治愈上千例,像东莞东华医院经统计已经治愈断指患者2769例,所以我们发明的这项被当今科学界称之为天方夜谭的断指再生技术,早已成为一项常规技术在我国临床上被普遍应用。
通过以上断指再生的实践,不需要再多讲什么就可知道,断指再生都能够实现,皮肤再生则是很简单的事情了,更何况我们已经再生了23个国家的2000多万烧伤病人的皮肤,人的皮肤再生复原即刻会在任何人的身体上发生,人们就会很快告别皮肤的衰老,长时间保持皮肤器官的年轻状态,即使已经衰老的皮肤也不必担心,可再生复原回应有的年轻状态了。
皮肤器官中的上皮组织包括表皮和真皮在内的一些特殊附件,像汗腺、皮脂腺、血管内皮等,都是功能性的,基底膜以上的表皮部分都是上皮组织,由基底膜延伸到真皮里面的皮肤附件比如汗腺、皮脂腺能产生很多的分泌功能,因此,上皮组织在皮肤器官的功能中发挥着重要的作用。
皮肤器官中的结缔组织包括表皮基底膜、真皮组织、皮下组织、血液。主要起垫衬皮肤附件、支撑皮肤表皮、保护机体等作用。
皮肤器官中的神经组织主要是神经纤维和各种神经小体,具有接受刺激和传导兴奋的功能,是皮肤及皮肤附件活动的功能单位。
皮肤器官中的肌肉组织主要包括血管平滑肌、汗毛立毛肌以及汗腺周围的肌细胞,正常皮肤内的肌肉组织在受到刺激信号时会产生相应的收缩反应,也可随皮肤器官自身和机体自身的体液调节发生收缩反应。
我们要想实现正常、非损伤性皮肤的再生复原,必须首先启动上述原有皮肤中四大组织的原位自动再生更新,从技术难度上来说要比损伤性皮肤再恢复要难得多,因为损伤性的皮肤,可以通过再生让它重新生长,但衰老皮肤的细胞还在,如何让它更新成年轻的是一大新的难题。但是,我们现在终于成功了,可以让非损伤性的皮肤、胃肠、胃肠粘膜全部实现原位再生更新,事实证明,接受再生复原再生技术的所有人都获得了同样的可喜效果,粘膜能重新原位再生出来,皮肤逐渐终止衰老并恢复年轻等等。因为皮肤处在外环境中受到的刺激比胃肠更大,加之皮肤器官的生理特殊性,而且皮肤接触的物质由于血管的功能问题,一些具有半抗原性的成分几乎无法吸收,所以我们对皮肤器官的再生采取了外源性导入和内源性口服相结合的方法。当然仅外源性再生物质就能起到很好的作用,但加上内源性再生物质就能使皮肤器官原位自我更新和自我再生复原衰老的组织。
【再生物质与结缔组织的关系】
本节针对皮肤器官和其中的上皮组织、结缔组织等这些基础的组织学常识进行阐述。大家都应熟悉,表皮内从基底膜以上的都是上皮组织,由表皮基底细胞层延伸到真皮里面的皮肤附件,比如汗腺、皮脂腺,也是上皮组织,能产生很多的分泌功能。真皮内有结缔组织及皮肤附件,结缔组织有多种,有连接的,有垫衬支撑的,有合成纤维的等。而结缔组织的功能就是连接垫衬,所有器官里面都含有这些组织。
为什么让大家先了解皮肤内的组织成分?因为我所说的再生与这些组织关系密切。我们从外源性的导入再生物质产生的再生效果看,再生营养后皮肤逐渐丰满起来,且效果非常明显,但这立即显现的丰满还不是细胞再生产生的效果,而是再生物质与现有的结缔组织融合变化的关系。我们通过氧气的压力,把我们这种再生物质导入到真皮里,它就充斥到胶原蛋白丝之间,而胶原蛋白丝存在于具有连接、垫衬支撑功能的结缔组织中,再生物质与结缔组织融合在一起,皮肤立即丰满了。有些医学整形美容,直接将胶原等注入皮下,虽然从表面上看起来皮肤也丰满了,但实际上并没有被人体吸收,而成为异物在体内形成一枚定时炸弹,随时都可能对人体产生危害。而我们的再生物质导入真皮以后就和真皮里面的结缔组织融合了。皮肤结缔组织包括了纤维、细胞外间质等,但不是功能单位,它90%的成分是脂肪酸。虽然成纤维细胞产生的胶原蛋白丝是以氨基酸为主,但也必须结合脂肪酸才能形成。胶原蛋白丝不与外源胶原蛋白质结合,不是说把胶原蛋白放在皮肤内就能形成丝,而是这种胶原蛋白丝必须通过细胞的生物自我合成才行,借用任何外源性的手段比如饮食直接摄入高蛋白等都没有办法直接生成。再者,如果从皮肤外面直接导入蛋白质,这些蛋白质即便能够进入皮下,也必须首先分解成氨基酸才可能被吸收和利用,但是,在正常情况下氨基酸被细胞利用是有条件限制的,要按照细胞的生理需求导入,不是一个简单的物理过程,因此,直接导入蛋白质也是不可行的。组成胶原蛋白的氨基酸有18种,这些氨基酸要发挥活性,必须要有载体,这个使他具有活性的载体就是我们要强调的物质——“脂肪酸类物质”(皮肤再生物质), “脂肪酸类物质”是一组不饱和脂肪酸。这项技术是我们发明的,它的来历非同寻常,是我们根据皮肤组织学和器官再生学的实验研究出来的。
这些结缔组织是真皮的重要组成成分,必须营养好才能复原为年轻状态。要使这些胶原蛋白丝恢复整齐有序,必须通过两个途径,一个途径直接通过皮肤导入,用两个大气压的高压氧气导入这种不饱和脂肪酸,让它参与到真皮结缔组织代谢里面,可以立即使松散的结缔组织和纤维成束,所以体验过我们皮肤器官原位再生复原再生的人都会发现再生物质导入后会即刻见效。另一个途径是通过再生物质被成纤维细胞蚕食后,使成纤维细胞原位再生复原向年轻状态过渡,使产生的胶原纤维蛋白丝吐出后不再成散状的,而是重新成束状的,这样才能保证皮肤在中年时期呈现一种年轻的状态。
【再生物质与皮肤神经组织的关系】
决定皮肤的状态年轻与否除了以上两个主要的方面,另一个就是皮肤附件和神经组织。如果皮肤器官里面的神经组织不始终保持一种旺盛状态,皮肤也没有活力。皮肤的神经组织虽然不是中枢神经,但是有神经纤维、神经末梢、压觉神经小体、感觉神经小体。只要这些神经组织能保持灵活状态,人的皮肤就会有动感,所以,我们在进行皮肤器官再生复原时导入的再生物质里面也含有营养神经的物质,但是这种物质绝对不是兴奋剂,而是通过神经的再生让神经恢复动感。其中恢复的主要细胞是雪旺氏细胞,把能让雪旺氏细胞再生的成分添加到要导入的再生物质里面。雪旺氏细胞就是神经纤维外面包绕的神经细胞,没有雪旺氏细胞,神经纤维就失去功能。在皮肤里面要保持神经末梢的兴奋性和神经小体的兴奋性,就增加在试验神经再生的时候提取来的营养再生物质成分。生活中按摩也可以产生感觉神经和压觉神经刺激,使人感到很舒服,但长期刺激就会失去效果,这是因为这种生活美容并没有对生命体本身改变什么。因此,我们说要让神经动起来,让其兴奋,但这种兴奋不是那种药学的兴奋性,而是生理的再生恢复的兴奋性,也就是用通过细胞和组织器官试验得到的再生物质,才能真正使其恢复发挥生理作用。
【皮肤肌肉组织再生与皮肤再生复原的关系】
肌肉组织在皮肤中主要是汗毛立毛肌和血管壁的平滑肌,肌肉和神经是连在一起的,一些感觉神经、压力神经的神经末梢,在产生信息传给大脑后,大脑自身,或指挥其他器官产生各种激素,这些激素通过体液循环到达皮肤,使皮肤变成类似于人精神焕发的状态。这主要表现在皮肤的微循环上,比如生气的时候面部颜色的变化就是大脑产生的兴奋激素对血管的反应,血管有α和β受体,β受体使血管扩张,接受激素后面色变红;α受体使血管收缩,接受激素后面色变白。这两种受体靠体液支配,不是通过局部刺激可以产生的。大家常见到的那种皮肤被拍打过后,局部会变红,那可不是这种原因造成的,而是局部有了损伤。所以我们在皮肤再生的时候也要特别注意皮肤肌肉组织、血管组织的反应。

另外,皮肤里面有汗毛立毛肌,这汗毛立毛肌是皮肤具有动感的又一决定因素。肌肉拉动是一种皮肤动态的变化,立毛肌收缩不仅能排泄皮脂腺里的东西,还可以调节皮肤对于外界环境的刺激反应。汗毛立毛肌起始于毛干的中端,终止于真皮乳头层浅部。皮脂腺是产生皮脂的(图1),立毛肌收缩产生挤压,皮脂腺就排出皮脂。例如粉刺是由于汗毛立毛肌处于不兴奋状态,皮脂产生过多又排泄不畅而造成堵塞。皮肤里还有一种肌细胞,它分布在汗腺周围,肌细胞在受到外界刺激或受到机体内体液信号收缩时人就会出汗。所以实现皮肤肌肉组织的原位再生,保持肌肉年轻状态,才是保障皮肤年轻状态的根本。
【再生物质与皮肤组织器官】
我们2002年把整个人体的组织(上皮组织、结缔组织、神经组织、肌肉组织)形成的组织器官划分为至少206类,其分类依据是细胞类别,特别是从器官再生的细胞学角度划分的。人的组织分类就四大组织,四大组织里面又有很多种类,如骨骼肌、心肌、平滑肌等等肌肉组织;骨骼、韧带都是结缔组织,结缔组织也分很多类型,有疏松的、有致密的,皮肤是疏松的结缔组织,也正因为皮肤是疏松的结缔组织,所以我们才能够通过外源性的导入再生营养物质而使皮肤更有弹性(图2)。要想实现皮肤器官中的表皮、真皮、真皮的附件、肌肉、血管……等全部原位更新,就必须要全面的再生启动,即导入的物质必须使所有组织全部处于再生状态。
对于以上这些结论我们非常有把握,因为我们有20多年的皮肤再生临床经验。美宝湿润烧伤膏并不是一下子就研究出来的,从开始的创面湿润到一般的创面愈合,接着到深二度减少疤痕愈合,再到深二度愈合无疤痕,而后又发展到三度烧伤能愈合有疤痕,再到三度烧伤愈合无疤痕,以后又进展到不仅仅是皮肤烧伤,而且伤及到肌肉骨骼,都能够实现皮肤再生,只要有骨头在,就能使软组织和皮肤再生出来 ,这么一步一步走过来的。所以,从皮肤的表面开始,一步一步到最后实现,用一个细胞复制再生出所有的细胞。在这个过程当中我们已经把整个皮肤器官再生出来了,并形成了皮肤缺损如何再生的理论和技术。然后再思考正常的皮肤如何再生,正常皮肤的毛细血管有一些带有半抗原性,或带有特异排斥性质,一些物质到毛细血管就被阻止了,无法进入,只能通过淋巴系统被转回,因此没有办法通过毛细血管的吸收来营养细胞。皮肤和别的器官不一样,有些带类似抗原性质的成分到达不了细胞,所以要结合外源性注入的方法,虽然外源性物质导入量不大,但是都能够被导入真皮层。(图3)汗腺、皮脂腺、毛囊、毛发等实际上从胚胎时期就是由一个干细胞发育来的。表皮的基底细胞排得很整齐,看上去都是一个个的,实际上它们是连续的,皮肤表皮的上半部分都是靠基底细胞分化而来的。基底细胞上面各层可以都没有,但这层基底细胞必须存在,只要有这层细胞,皮肤的表面就会恢复得完好无损。医学上常说的皮肤的生理性再生就是指表皮基底细胞层再生的概念,只要这层细胞在,就能把表皮外面各层都再生出来。表皮的组成层次由深层到表层主要是基底层、棘层、颗粒层,最上面是角质层。

【皮肤原位再生复原技术的机理核心】
一般的皮肤美容为了让皮肤表面显得细嫩,就想尽办法从皮肤表面去死皮,死皮去得越多,皮肤就越薄,表面也就会越光滑、红润和通透,但实际上这是一种皮肤受损的表现,并没有真正起到保护皮肤的作用。因为,皮肤一旦损伤到棘层或基底细胞,就会出现常见的美容问题,如化妆品斑、色素沉着、激光疤痕等等。
而皮肤器官原位再生复原要求实现表皮代谢旺盛、真皮紧致丰满,因为真皮下面含有大量的成纤维细胞,而成纤维细胞可以产生胶原纤维蛋白丝。胶原纤维蛋白丝有三种,真皮的上部主要是胶原纤维,它比较硬,网状纤维穿插在真皮下部;弹力纤维穿插在各种纤维之间。这里面的三种纤维,一个是横着的,一个是网状的,一个在里面夹杂着有弹力的。这三种纤维都涉及成纤维细胞,是非常重要的。要想解决这三种纤维的问题,必须把产生这三种纤维的细胞养好,纤维才能养好。成纤维细胞得不到营养就不可能产生健康的三种纤维。
现在的生活美容基本上与营养这些纤维没有任何关系,主要是因为它没有办法解决深层营养问题,仅仅使皮肤表面变得光滑而已。我们的皮肤器官再生,就能实现成纤维细胞再生,成纤维细胞不是纤维细胞,成纤维细胞可以产生生理性纤维蛋白丝,而纤维细胞是一种老化的变异的细胞。人的皮肤随着年龄的增长而老化,而成纤维细胞功能越来越低下,最后“成纤维细胞”变成“纤维细胞”,就不能再产生胶原蛋白丝了,没有胶原蛋白丝的皮肤就会塌陷。我们的皮肤再生就是要保持成纤维细胞的功能,成纤维细胞功能正常,就能持续自动产生令皮肤充盈的纤维蛋白束。我们在皮肤器官的再生复原上,是用氧气导入的办法,将含有各种再生营养成分的再生物质导入皮肤真皮内。这些物质在真皮的各种组织里面直接发挥作用,使胶原纤维蛋白丝从非束状、散状变成束状,把纤维蛋白之间填充得比较充盈。导入的物质代谢周期是一周到两周时间,过了这个时间就自动代谢掉了。表皮细胞的再生更新也很重要,但不如成纤维细胞再生更新重要,因为表皮基底细胞本身就是干细胞,自身就有再生功能,用不用再生物质都可再生,只是我们用再生物质能加强并保障它的干细胞功能,实现表皮的年轻,但我们并没有从细胞再生属性上改变它。虽然这个表皮干细胞是比较低级的一种近终端干细胞,但也保证了整个基底细胞层较强的自我修复能力。举个例子来说,儿童的细胞都是K15(角蛋白15,数字越大越原始),这个细胞生发能力很强;一个90岁的老人只有5%的细胞具有活性,95%都没有生发能力。这就解释了为什么老年人的皮肤松弛下垂,拉伸后无法恢复原状,就是因为表皮的基底细胞代谢率基本没有了,真皮中胶原蛋白丝含量很少。同样原因,老年人的表皮细腻度也没有年轻人好。一般来说,人过了40岁皮肤就有一半的细胞不工作了。表皮存在很多细胞,因此我们导入再生物质后,不只是针对成纤维细胞起作用,对其他细胞也有作用,从表皮一直到毛囊、汗腺、皮脂腺都是立体的营养。要注意单纯是皮肤表面用营养,起不到皮肤器官整体再生复原的效果,因为没有营养到真皮,到不了真皮就没办法营养毛干、汗腺、皮脂腺等。要知道它们是一个系统,也就是说它们的功能是一起核算的。每一个表皮基底细胞释放的任何因子,是共同联系相互作用的。所以说我们不仅仅要从外面给予皮肤保护,更重要的是要立体式保护,也要从消化道内源供给表皮营养。从表皮基底层到角化层,共约30层细胞。也就是说细胞从基底层开始一层层向上推进再生,一层细胞的功能低于一层,最后形成角质细胞,角质细胞是完全没有功能的。这30层分四大类:基底细胞层、棘层、颗粒层、角化层。基底细胞是原发层,棘层是生发层,颗粒层细胞代谢相对缓慢,但是细胞已经退化并形成含有很多颗粒物质的细胞,这是人类进化得来的。颗粒层处于功能层,颗粒层与角化层之间的关系是:颗粒层以下是功能层,角化层不是功能层,是屏障层。颗粒层的主要任务是防化学侵蚀。如一些外界的酸碱物质对机体有影响的话,一到颗粒层就被阻止了。棘层除有生发作用外还具有防水作用,它是真正的防水层。表皮要生长,谁供给营养?它的营养来源有两个渠道:一个渠道从血管来,血液中的营养通过棘层渗入,渗到颗粒层,人的皮肤美不美,只要皮肤下有正常的血液循环皮肤就是美丽的。但颗粒层以外的细胞血液供应不了,由人体的另一个供应渠道供应。大家也许不知道,汗腺除了排泄汗液调节体温以外还有一个大功能,就是作为皮肤表皮外15层很重要的营养供给器官(水相),另外一个营养物质是皮脂(油相),是由皮脂腺产生出来的,是可溶解的脂肪酸,这两者水相和油相自动乳化,覆盖在角质层表面,营养着皮肤表皮上半部分细胞。所以皮肤分泌的汗液和皮脂少了不行,多了也不行。这也是我们平时所说的干性皮肤和油性皮肤的分类依据,实际上,不管哪项多了少了都不好。皮肤的颗粒层和棘层在内外营养的作用下,还能产生一系列自己所需要的物质。所以有了它,表面的角质层才能看起来细腻水润。

【渗透压与皮肤生命的先天关系】
社会上的很多美容化妆品虽然也考虑到了油相和水相,打着保护皮肤的旗号,但仔细分析就会发现问题。那些化妆品用的水是什么水呢?是去离子水。为什么选这种水?因为这种水是低渗的(图5)。皮肤干燥,他们就想利用低渗的作用让水渗入至皮肤内。因为它低渗,水分子就会渗入皮内,而且速度很快。而油呢,起初都用矿物油,现在有的也用植物油,但不管是矿物油还是植物油,都没有实现其向可溶性脂肪酸类物质的转变。而我们的再生物质用的都是可溶解的油。某些化妆品里的脂肪酸是不可溶性的,涂在皮肤上只能覆盖,没有营养皮肤表皮细胞15层的作用,只是摆设,反倒是涂抹多了之后堵塞皮脂腺排泄孔,就会造成粉刺。水是利用低渗作用,来解决让水渗进去,想法很好,但低渗作用到底对皮肤有没有好处呢?医学上早已有定论,所有的化妆品、护肤品都伤害皮肤。可伤害皮肤为什么还用呢?就是因为大自然的破坏比化妆品还厉害,是用损伤小的代替损伤大的。化妆品的损伤在医学上一直没明确它的机理,我们明确了,理解起来非常容易。

首先分析,汗液不是单纯的水,我们解决这个难题不是根据别人的想法,也不是别人的理论,是根据人体皮肤自我保护的生理机制。我们分析汗液含有多种成分,汗液的渗透压是等渗的,和组织液、细胞内液的渗透压力是相等的。所以汗液覆盖在皮肤表面乳化以后,完全起到一个与组织和细胞相等的自我交换的关系,汗液是多种成分的溶液。所以人出了汗,水蒸发了剩下的盐,全是离子,就是这个盐在液体里面就形成了渗透压。如果是低渗的水,则这低渗的液体利用渗透压的关系很快进入到组织间液,虽然利用低渗能很快将水送进去,但组织间是由细胞形成的间隙,细胞间隙里面也就成了低渗。这低渗的组织间液又进入了细胞内,最终把细胞胀大,过多之后就会导致细胞破裂(图6)。我们曾做过实验,用一个离心机,一个红细胞脆性试验的试管,做我们医学上常做的细胞脆性实验。把化妆品放入离心机里离心,让水相油相分离开,再把水相吸出来,把红细胞放入水相中,如果红细胞破了,这个化妆品就没有保护细胞的作用,如果红细胞没有破就有保护细胞的作用。按照这个结论,很多化妆品不能卖了,因为它会把红细胞胀破。这种办法使去离子水渗入皮肤,进而造成细胞水肿导致皮肤老化,所以越用化妆品皮肤就越容易衰老。而有些人由于皮肤经常接受美容,特别容易损伤至棘层、颗粒层,所以说这种美容是越美容越衰老,必须涂抹油脂和粉质化妆品遮盖,不然皮肤很难看。化妆品的低渗水相概念是完全错误的,因为它的水相要求只能用去离子水来保障它的要求。当然它之所以用去离子水还有一个剂型的要求,可以使霜剂型不散,有离子就会影响化妆品的稳定性。

我们的皮肤再生霜剂的水相是等渗的液体,是用鲜的植物组织液制成的,涂在皮肤上保持了皮肤的生态渗透压。
另外,我们用的油是可溶性脂肪酸,这是最关键的一点,如果是不可溶性脂肪酸,它就无法渗透到皮肤表面的数层之内,和颗粒层细胞产生协同保护作用。也可以说不可溶性脂肪酸涂抹在皮肤上不透气,只能起到隔离的作用,而不透气隔离的作用实际上就像人长期不洗澡一样。长期不洗澡的人为什么皮肤老化?就是因为虽然是自己产生的脂肪酸在皮肤上,但长时间导致很多沉渣废物堆积,造成皮肤不能呼吸不能代谢,不能代谢就会产生很多化学的酸性或碱性的物质,这种不可溶性脂肪酸时间长了就会发生各种化学反应,也就破坏了皮肤的PH平衡,更重要的是影响了皮肤颗粒层细胞的再生代谢能力和合成代谢能力。
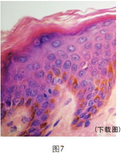
世界上化妆品无论配方如何,这些外源性化妆品都很难进入到真皮。之所以这么说,是因为在基底细胞层下面有一个膜(图7),这个膜不仅是为了表皮与真皮的连接,这也是解决皮肤器官再生复原的一个最重要的技术环节。这个基底膜具有半通透性,在皮肤和断指再生治疗技术上,我们仿生了这个膜,这层膜的下面有血管、神经,但血管过不了这层膜。如果你的皮肤一旦出血,就说明是这层膜破了。我们看到的血丝,都是在基底膜之下的,除非异常的血丝,有些病变的可以突出到基底膜之上。正常的生理情况下,血管都在基底膜下,胶原纤维也在基底膜下,纤维无法通过,唯一能通过的是神经末梢。(图8)神经延伸到基底膜,基底膜外面还有一层膜包绕在神经外面,一但穿过了这个膜就成了没有膜包绕的纤维,叫神经纤维的暴露端,所以膜上面除去表皮的四大层,还有一些无包膜的神经末梢纤维。因此触摸的时候会出现感觉。


【再生物质导入与皮肤再生的代谢】
皮肤基底膜的重要性在于它有半通透性,这是皮肤器官真皮对外呼吸的重要通道之一,也是人体通过皮肤呼吸的途径。人体的呼吸有两种方式,一种是肺的呼吸,一种是皮肤代谢通道的呼吸。皮肤氧的呼吸多数是通过膜的通道(它是个间隙通道),当接触氧分子时,基底膜的间隙就扩大了,氧分子就进来了。高空跳伞的人,他可以在高空时把皮肤吸收氧的表面积增加,从而增加皮肤的含氧量,就是因为半透膜对氧具有通透性。还有就是皮肤的电荷导向,电荷导向是非常重要的,就像超声波等,但是这里并不是什么都可以通过,它最重要的是使那种没有电荷或电荷相同的通过,任何有电荷的都需要选择一下。比如说胶原蛋白,我们曾做过试验,看能不能把水解的胶原蛋白导入皮下,可最后结果是不管是用何种方法导入,都没有办法使其进入,这说明皮肤它不接受这种物质。当然胶原蛋白作为大分子的蛋白也不可能被导进去,若真导进去,这就成了异体蛋白,对人体有害。我们分析水解的胶原蛋白之所以导不进去,可能是因为蛋白质的组成结构氨基酸的原因,氨基酸在某种情况下是带电荷的,这个水解胶原蛋白因此也带电荷,而且可能与这层膜相选择的电荷相反,所以不可能进入到皮肤里面去,即使我们用高压氧硬压的方法也不行。所以这层膜在真皮的美容上很关键,要想达到皮肤器官再生复原的结果,皮肤营养物质必须得通过基底膜进入到皮肤里面去。
我们的再生物质能不能透进皮肤?当然能,我们做过试验,在眼袋导入再生物质,每次都能明显地看到眼袋丰满起来了,这说明那些再生物质被导入进去了。表皮下是真皮,我们对真皮的再生复原主要有两大目标,一个目标是把附件的功能更新,另一个就是使真皮成纤维细胞再生及纤维变年轻,散状纤维丝成束,同时填充组织。如图所示(图9、图10),附件包括汗腺和皮脂腺,汗腺是

汗腺分泌细胞。毛囊细胞是从卵胚开始的一个新的细胞,是一个独立的家族。人的身上有三种毛:短毛、长毛和毳毛,头发为长毛。从胚胎时期开始,生长毛发的细胞就有三个不同原发细胞,一个是长长毛的,一个是长短毛的,一个是长毳毛的,毳毛即汗毛。它们发生的时间不同,短毛和长毛是来自于最原始的卵胚,而汗毛可来自于表皮干细胞,也就是角蛋白19型家族。所以大面积深度烧伤时愈合以后都能长汗毛,但长不了长毛也长不了短毛。在这里也告诉大家,对付脱发应该在人还没有脱落头发前加以控制,不让头发脱落,一旦毛乳头全脱落了就长不出头发来了,能长出的不过是类似于短毛的一些毳毛(图11)。这是因为在再生时,毛发是利用毛发里边储存的信息机关——隐窝来再生的,毛隐窝里储存有短毛和毛干的信息,任何皮肤里面都有这种信息。由于人的进化造成有些部位不长毛,有些长毛,这个毛隐窝是由于人的进化所形成的,但种族不同,毛隐窝则有所不同,就像美国人身上有很多毛,但那也是短毛而不是长毛。咱们亚洲人皮肤比较平滑,棕色人、黑人也比较平滑,是因为隐窝比较弱,不长那么长的毛。我们曾研究过怎么能让光秃头顶长出细毛,当初我们把每个细胞都拿出来,看是哪一种细胞长的,发现都是毛隐窝长的。虽然一旦失去了毛囊就不能再长头发了,但是只要毛隐窝还在,就还有长毛的功能,每一个隐窝都能长出一个毳毛来。社会上某些生发产品就是刺激这个隐窝的细胞,但这种刺激所长出的毛很脆弱,一碰就掉了,一旦没有刺激作用了,这毛发就不长了。我们在烧伤治疗中也发现,只要有皮肤产生就有毳毛,当然手掌除外,手掌是没有毳毛的,这是遗传的特性。有人问男性的胡须是什么毛?这个毛有短毛的种类,也有长毛的种类,主要是长毛种类。

皮肤放大以后可以看到很多毛孔,随时都可能发生变化,用一些扩毛孔的、散毛孔的方法美容是非常不科学的,是破坏皮肤功能的,应该让皮肤自身调节。真皮的另一个功能是成纤维细胞的功能,(图12)成纤维细胞主要功能是合成纤维,吐出纤维,粘在一起成为纤维束。随着年龄的增长,不仅表皮老化,其真皮内也是胶原纤维逐渐减少直至消失。成纤维细胞能产生三种纤维,一种是胶原纤维,一种是弹力纤维,还有一种是网状纤维。如果是一个年轻的功能好的细胞产生的丝,就是强壮的束,这样多个束在皮肤里面,皮肤就丰满和有弹性了。但是也不是光有丝就行了,例如疤痕,那就是因为杂乱无章的胶原蛋白丝太多了,没有结缔组织生理结构多余的空间了,胶原蛋白丝交错,就形成较硬的疤痕。产生胶原蛋白量的多少,就在于真皮里面其他结缔组织的调控和上皮细胞的调控,一个调控是靠上皮细胞和成纤维细胞之间的关系调控,另一个调控是靠结缔组织存在其他细胞里面的调控。结缔组织的调控主要是人衰老了以后产生这些纤维的量减少。我们这里主要说说上皮细胞和成纤维细胞的关系。正常皮肤的细胞结构比例是:一个上皮细胞比四个纤维细胞,一比四。人的瘢痕组织是一个上皮细胞比九个以上胶原纤维细胞。长疤痕的人就是胶原纤维细胞增生,长萎缩性疤痕的人是弹力纤维细胞增生,不是胶原纤维细胞增生。但是不管皮肤有没有疤,都出现上皮细胞和纤维细胞一比十几以上的关系,一个增生性疤痕是一比二十的关系,也就是一个上皮细胞配上二十个纤维细胞,那就是正常人皮肤衰老的原因。
上述内容说明再生复原重要的是要恢复其皮肤正常的生理功能。正常人的皮肤衰老了,意味着他皮肤的很多功能缺失了或退化了。因此我们的皮肤再生必须控制细胞,让细胞强壮,恢复正常生理功能。我们在实践中就启动了角蛋白十九型干细胞,当然也可以启动角蛋白十九型以下的细胞。我们首先把表皮基底层细胞启动起来,使它可以增加生命活力,重建,同时成纤维细胞也更新。一个90岁的老人,基底细胞只有5%是有功能的。人一旦衰老了,细胞就难以再生到足够的数量,所以一定要保证再生物质的量,确保细胞的功能。一般来说,成纤维细胞的功能,随着年龄的增长会代谢低下,这个低下指的是产生纤维的速度减慢、产生的量减少,产生的胶原纤维不成束。一个正常细胞产生的纤维如左图所示(图13),一个衰老的细胞产生的纤维如右图所示。(图14)这个衰老的细胞产生的丝是杂乱无章的,没有弹力,又散又少。人老了,在细胞里产生的原纤维

就杂乱无章,成纤维细胞吐出来的纤维也就不成束了。所以他的皮肤组织里面就是空洞的,皮肤就不紧致。我们再生物质的功能就是要把这种细胞不正常的功能纠正过来。我们要增加细胞的活性。皮肤真皮的丰满程度,是靠成纤维细胞活力的增强来实现的。在活力没有增强之前先把产生的纤维成束,一边成束,一边更新。这样就出现一个保持年轻复原状态。这个皮肤再生复原的时间问题涉及代谢时间问题。表皮的创伤性修复速度快,一般7天修复完成。一个正常人的表皮生理代谢,则是7天一层,基底层到角质层是30层细胞,三七二百一十天。一个完全晒黑的人经过210天可以复原回原来的颜色。皮肤表面的黄褐斑、老年斑我们都可以解决,但不是用激光、光子消掉就可以了,这样还会再长,因为是细胞的异常属性没变。我们是用再生改变这个细胞的异常属性,激活二次生命细胞,使皮肤再生复原。
真皮的结缔组织代谢时间一般是半个月,这也和季节变化有关系。我们从人体上观察比较多的是胃肠粘膜,到3个月的时候,胃肠粘膜明显发生了改变,已经更新。胃肠粘膜增长速度是3个月,皮肤也是这样,但是还没有非常准确的数字。表皮比较明显,表皮的损伤性修复四大层完成需要7天的时间,这也从表皮烧伤需要7天、表面的激光也是几天修复就可以看出来。但真皮修复都在3周以上,真皮的再生,也只有我们做到了,别人都是疤痕修复。比真皮再深的损伤,一般也没有超过4周修复的。
【皮肤再生复原的动物试验数据】
我们做了大白鼠试验,喂养的两批老鼠都是300天的成年白鼠,一组吃膳素,10%的;一组对照,同样的量喂养,喂到826天,喂再生物质的这组除去两个拉肚子死亡的,剩下都活着。 而对照的那一组,只有一只活到826天,其他都在550天左右死亡。把所有脏器做组织切片(图15),试验组老鼠的皮肤
是年轻的,对照组就是退化的,所有器官都是一样,吃再生物质活到826天,超过正常老鼠寿命一倍的老鼠的皮肤器官和活到300天的老鼠的器官是一样的,没有衰老。老鼠的平均寿命年龄是480天。我们的老鼠活到826天,剩下的养到超过一千天,已经是正常老鼠的近三倍寿命年龄。这是我们实验的结果,我们在用更多的试验证明。按老鼠的寿命年龄折算,再生喂养到200岁和中年鼠是一样的,依旧年轻。皮肤正常的基底细胞是柱状的,老化的表现就是表皮细胞塌陷,不代谢了,只有几个是柱状的。真皮就剩几个框架,胶原纤维没有多少,连结缔组织也剩了几个框架,连接的纤维也没有多少了。大白鼠皮肤这个结果还只是靠口服达到的效果,并没有皮肤外在的导入,就能达到这么好的效果。可以这么说老鼠皮肤一开始就是这样,我们把它维持住了。如果已经老了想变原来最年轻也不太可能,因为纤维束已经散了。我们用氧气把再生物质从基底膜导入进去,这些再生物质再进入组织的各个部位。当然我们也让这些细胞从血液里面得到再生物质,方式就是口服。所以我们的会所器官再生是全项的,而不是单一项目,以上内容主要是针对皮肤的。
这是皮肤里面一个成纤维细胞产生丝然后吐丝(图16),但衰老的细胞就吐不出丝来,如想年轻,就必须让它进行自我更新。我们要做的就是把成纤维细胞变成成纤维母细胞。要通过皮肤组织里面的间质细胞,启动第二次生命细胞,让间质细胞产生新的成纤维母细胞,而不是利用这些成纤维细胞的第一次生命,更不是由成纤维细胞变成成纤维母细胞。这里的成纤维母细胞就是脂肪结缔组织里面的间质细胞产生的。

【皮肤再生的细胞学变化】
皮肤上皮细胞来源于角蛋白19型,角蛋白19型细胞可以从间质细胞转变,可以从肉芽组织转变,也可以从骨髓细胞转变。我们在骨头上打上孔,取肉芽立即去做细胞鉴定,很快就会出现角蛋白19型。等到肉芽组织平了,马上就变成角蛋白19型皮肤细胞,同时也会产生成纤维母细胞。一定要始终保持真皮组织里面有成纤维母细胞需要的再生物质,才能激活成纤维母细胞,或者保养好这种细胞,使它产生新的胶原母细胞。老年人已经有了衰老的纤维细胞,我们就用导入再生物质的方法使这纤维再成束,一边让它成束,一边再让成纤维母细胞成活,更新,取代这些衰老的成纤维细胞,产生更多的纤维。这个时间很慢,半年能够见效,因为还要把衰老的纤维束吸收降解掉,而这种纤维束会随着我们的脂肪酸代谢而吸收,到底多长时间才完全结束,时间还不敢确定。现在只能说半年时间会有一个较为明显的效果。停止再生技术操作,就会停止在当时的再生复原状态。长时间不做器官再生复原,就会在已经获得再生的基础上继续老化。因为皮肤的代谢是7天一层,我们就是用这种容易代谢可以随淋巴进入血液的再生物质,达到7—10天就代谢掉。如果2—3个月没有做再生复原养生,皮肤仍表现在再生后的状态,说明皮肤细胞已经再生了。但是没有持续的再生营养,细胞饿了,就不会继续再生了。我们要享受的就是第二次再生生命。如果停止了再生养生,它就会在现有的基础上继续老化。

我们这里说的是成纤维细胞,不是成纤维母细胞(图17-A)。母细胞在皮肤真皮里面时刻存在。随着年龄的增长,母细胞、干细胞越来越少。现在我们是要激活和启动它。就像在烧伤的表面如何长出新的皮肤。驾驭它的生长,需要条件的配合。一个成纤维细胞,随着衰老,出现空泡、空洞,细胞核分泌也不旺盛,细胞质里的原胶原纤维杂乱无章。先说细胞核,再生物质被导入细胞后,细胞核膜变为规整的,虽然它是衰老的,但经过再生物质的营养强心,又有了能量。从原胶原纤维说,细胞质里面的原胶原没吐出来之前是杂乱无章的,经过美宝再生物质的导入,细胞吐出的胶原纤维就顺了,这是细胞里面的状况。导入再生物质后成纤维细胞内的变化(图17-B),细胞内纤维有序,细胞生长旺盛。再生物质导入之后,细胞的能量就增强了,代谢旺盛,自动的调节纤维。因为胶原纤维蛋白在原胶原时期是通过细胞里面的氨基酸、脂肪酸的代谢形成的。人体有8种必需氨基酸,胶原纤维蛋白就占据7种,同时还多了一般不代谢的羟脯氨酸。氨基酸代谢是细胞自身的能力,由于细胞的衰老,线粒体功能减弱,产生不了细胞合成和需要的ATP能量,合成的纤维就杂乱无章。而纤维合成完了,才集合起来组织输出。所以说一个衰老的胶原纤维细胞吐出的就是缺少粘性的丝。胶原蛋白丝是以胶原蛋白为主,但是丝和丝之间的连接是一种脂肪酸,这个脂肪酸必须是可溶性的,可代谢掉的,不会“钙化”的。导入再生物质之后,丝和丝之间马上就连在一起成束。健康的细胞吐出来的才是束,不健康的细胞吐出来的只是丝。我们的发明是在烧伤上发现并研究出来的。我们用各种办法把这种再生物质导入皮肤,取出部分细胞分析,皮肤在变化,导入前和导入后完全不是一个样。现在的器官再生复原也是一个道理,许多皱纹,导入再生物质后,会变浅,甚至消失不再需要化妆。最终的目的呢,是要把不正常的细胞变为正常的细胞。从表面的感觉呢,就是把皮肤变成正常的束。可以说皮肤厚度一般随年龄增长会越来越薄,而我们一定要让皮肤变厚才真的到达效果。这个变厚试验已经做出来了,下面就是某女士的脸,是我们的规范标准(图18),

这个皮肤再生复原是两个月多,不到三个月,大家看这个脸型,原来的皮肤是原来的美容效果,照片都是皮肤表面清洗干净以后拍摄的,可以看到,表面不光滑,看上去面部表面由于涂抹化妆品很亮,实际是凹凸不平的,前面已经介绍过,已经清理到颗粒层了,把角化层都清理了,必须在皮肤表面涂抹化妆品。而后面的照片呢,就是整个皮肤厚,是表皮的厚度完成了,由棘层、颗粒层和角化层构成。而角化层起到看不见的屏障作用,这是从表面来看。从真皮来看,那是厚薄的差异,从我们这个图片上来看,随着年龄增长皮肤会塌陷,有两种塌陷:一个是皮下组织塌陷,是肌肉和脂肪组织萎缩;一个是皮肤塌陷,皮肤塌陷是下坠,皮肤一下坠就撑不起来,后面这张照片是再生不到三个月的,可以看出皮肤撑起来了,最难得的就是皮肤撑起来的丰满,要持续保持这样丰满那就解决问题了。如果一个三十几岁的人,皮肤还没有下坠,那进行再生就可以保持了,就像我们已经成功了的大白鼠试验一样,可以保持了。那些皮肤已经衰老的我们可以让皮肤恢复。从颈部来说,原来的照片塌陷得很明显(图19),我们可以让皮肤变得丰满,但必须始终保证每一次都将再生物质导入进去,导入不到皮肤内细胞就没有再生营养了,一旦停止器官再生皮肤就不再保持再生的最佳状态了,但不会回到再生前的状况。颈部皮肤非常松弛,与面部皮肤组织不同,面部以胶原纤维为主,颈部弹力纤维增多了,同样导入再生物质,在面部可产生大量胶原蛋白,在颈部产生较少,因为颈部弹力纤维多,这就是为什么现在颈部效果会差一点,我们将来导入再生物质的量,颈部要超过面部2—3倍,才能起到更好的导入作用。
以上是基本原理,皮肤既然都能再生,色斑、老年斑祛除就更容易解决了,包括粉刺、脂肪粒等凡是异常的,不管多么严重,只要能再生出新的皮肤就完全可以解决。









